Implanty w jeden dzień w Koszalinie to rozwiązanie, które zyskuje coraz większą popularność wśród pacjentów poszukujących szybkiej i efektywnej metody odbudowy uzębienia. Główną zaletą tego typu zabiegu jest czas, który jest znacznie krótszy niż w tradycyjnych metodach. Pacjenci mogą cieszyć się nowym uśmiechem już po jednej wizycie, co jest szczególnie istotne dla osób, które nie chcą długo czekać na efekt końcowy. Kolejnym atutem jest minimalna inwazyjność procedury, co oznacza mniejsze ryzyko powikłań oraz szybszy proces gojenia. Warto również zwrócić uwagę na komfort psychiczny pacjentów, którzy nie muszą przechodzić przez długotrwały proces leczenia. Dodatkowo, implanty w jeden dzień są często bardziej ekonomiczne, ponieważ zmniejszają liczbę wizyt oraz związane z nimi koszty. Dzięki nowoczesnym technologiom oraz doświadczeniu specjalistów, jakość wykonania implantów jest na bardzo wysokim poziomie, co przekłada się na ich trwałość i funkcjonalność.
Jak przebiega zabieg implantów w jeden dzień w Koszalinie
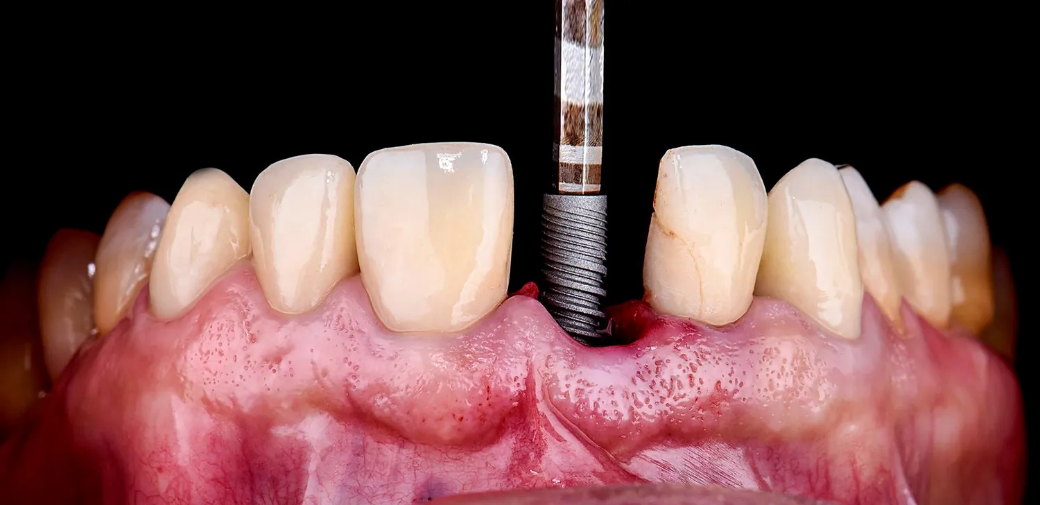
Zabieg implantów w jeden dzień w Koszalinie to proces, który składa się z kilku kluczowych etapów. Na początku pacjent przechodzi szczegółową konsultację stomatologiczną, podczas której lekarz ocenia stan zdrowia jamy ustnej oraz wykonuje niezbędne badania diagnostyczne. Po ustaleniu planu leczenia następuje etap przygotowania do zabiegu, który obejmuje znieczulenie oraz ewentualne usunięcie zębów, które wymagają wymiany. Następnie lekarz przystępuje do wszczepienia implantu, co odbywa się przy użyciu nowoczesnych narzędzi i technologii. Po umieszczeniu implantu pacjent otrzymuje tymczasową koronę, co pozwala na natychmiastowe odzyskanie estetyki uśmiechu. Ważnym elementem tego procesu jest również instrukcja dotycząca pielęgnacji jamy ustnej po zabiegu oraz umówienie się na wizyty kontrolne. Dzięki temu pacjenci mogą mieć pewność, że ich implanty będą odpowiednio monitorowane i pielęgnowane przez specjalistów.
Czy implanty w jeden dzień są bezpieczne dla pacjentów w Koszalinie

Bezpieczeństwo zabiegu implantów w jeden dzień w Koszalinie to kwestia niezwykle istotna dla wielu pacjentów zastanawiających się nad tą formą leczenia. Warto podkreślić, że nowoczesne technologie oraz doświadczenie lekarzy stomatologicznych znacząco zwiększają bezpieczeństwo tego typu procedur. Przed przystąpieniem do zabiegu każdy pacjent przechodzi szczegółową ocenę stanu zdrowia oraz analizę wyników badań diagnostycznych, co pozwala wykluczyć ewentualne przeciwwskazania do wszczepienia implantu. Dodatkowo, stosowanie wysokiej jakości materiałów oraz najnowszych technik chirurgicznych minimalizuje ryzyko powikłań i infekcji. W przypadku wystąpienia jakichkolwiek problemów po zabiegu pacjenci mają zapewnioną opiekę posprzedażową oraz możliwość kontaktu z lekarzem. Ważne jest również przestrzeganie zaleceń dotyczących pielęgnacji jamy ustnej po zabiegu, co wpływa na długoterminowe efekty leczenia.
Jakie są opinie pacjentów o implantach w jeden dzień w Koszalinie
Opinie pacjentów dotyczące implantów w jeden dzień w Koszalinie są zazwyczaj pozytywne i pełne entuzjazmu. Wiele osób docenia przede wszystkim szybkość całego procesu oraz natychmiastowe efekty wizualne, które można osiągnąć już po jednej wizycie u stomatologa. Pacjenci często podkreślają również komfort psychiczny związany z możliwością uniknięcia długotrwałego leczenia i licznych wizyt kontrolnych. Dzięki temu czują się pewniej i bardziej komfortowo podczas codziennych interakcji społecznych. Osoby korzystające z tej metody chwalą sobie także profesjonalizm lekarzy oraz wysoką jakość świadczonych usług stomatologicznych. Niektórzy pacjenci zwracają uwagę na to, że pomimo początkowego strachu przed zabiegiem, cały proces okazał się mniej stresujący niż się spodziewali. Warto jednak pamiętać, że każda sytuacja jest indywidualna i opinie mogą się różnić w zależności od osobistych doświadczeń oraz oczekiwań pacjentów.
Jakie są koszty implantów w jeden dzień w Koszalinie
Koszty implantów w jeden dzień w Koszalinie mogą się różnić w zależności od wielu czynników, takich jak doświadczenie lekarza, użyte materiały oraz lokalizacja gabinetu stomatologicznego. Warto zaznaczyć, że chociaż cena może wydawać się wysoka na pierwszy rzut oka, to jednak warto spojrzeć na tę inwestycję z perspektywy długoterminowej. Implanty są trwałym rozwiązaniem, które może służyć przez wiele lat, a ich koszt często jest porównywalny z innymi metodami odbudowy uzębienia, które wymagają częstszej wymiany lub konserwacji. W Koszalinie ceny implantów w jeden dzień mogą zaczynać się od kilku tysięcy złotych za pojedynczy implant, a kończyć na znacznie wyższych kwotach w przypadku bardziej skomplikowanych przypadków. Warto również zwrócić uwagę na możliwość rozłożenia płatności na raty lub korzystania z programów lojalnościowych oferowanych przez niektóre kliniki. Dodatkowo, pacjenci powinni być świadomi, że niektóre ubezpieczenia zdrowotne mogą pokrywać część kosztów związanych z implantami, co również warto sprawdzić przed podjęciem decyzji o zabiegu.
Jak dbać o implanty po zabiegu w Koszalinie
Prawidłowa pielęgnacja implantów po zabiegu w Koszalinie jest kluczowa dla zapewnienia ich długowieczności oraz zdrowia jamy ustnej. Po wszczepieniu implantu lekarze zalecają szczegółowe instrukcje dotyczące higieny jamy ustnej, które powinny być ściśle przestrzegane przez pacjentów. Ważne jest, aby kontynuować regularne szczotkowanie zębów co najmniej dwa razy dziennie oraz stosowanie nici dentystycznej do czyszczenia przestrzeni międzyzębowych. Pacjenci powinni unikać twardych pokarmów przez kilka pierwszych tygodni po zabiegu, aby nie narażać implantu na nadmierne obciążenia. Regularne wizyty kontrolne u stomatologa są również istotne, ponieważ pozwalają na monitorowanie stanu implantu oraz wykrywanie ewentualnych problemów na wczesnym etapie. Warto także pamiętać o unikaniu używek takich jak papierosy czy alkohol, które mogą negatywnie wpływać na proces gojenia i osseointegracji implantu. Dbanie o zdrową dietę bogatą w witaminy i minerały wspiera proces regeneracji organizmu i przyspiesza gojenie się tkanek.
Jakie są alternatywy dla implantów w jeden dzień w Koszalinie
Alternatywy dla implantów w jeden dzień w Koszalinie obejmują różnorodne metody odbudowy uzębienia, które mogą być odpowiednie dla różnych pacjentów w zależności od ich indywidualnych potrzeb i oczekiwań. Jedną z najpopularniejszych opcji są mosty protetyczne, które można zastosować w przypadku braku jednego lub kilku zębów. Mosty są mocowane do zdrowych zębów sąsiadujących i stanowią estetyczne rozwiązanie, ale wymagają szlifowania tych zębów. Inną alternatywą są protezy ruchome, które mogą być stosowane zarówno jako całkowite, jak i częściowe uzupełnienia brakujących zębów. Protezy są tańszą opcją niż implanty, ale mogą być mniej komfortowe i stabilne podczas jedzenia czy mówienia. W przypadku pacjentów z ograniczeniami zdrowotnymi lub finansowymi istnieją również metody takie jak koronki czy wkłady koronowe, które mogą poprawić estetykę i funkcjonalność istniejących zębów. Warto skonsultować się ze specjalistą stomatologiem, aby omówić dostępne opcje oraz wybrać najlepsze rozwiązanie dostosowane do indywidualnych potrzeb pacjenta.
Jak przygotować się do zabiegu implantów w jeden dzień w Koszalinie
Przygotowanie do zabiegu implantów w jeden dzień w Koszalinie jest kluczowym krokiem, który może wpłynąć na powodzenie całej procedury oraz komfort pacjenta. Na początku warto umówić się na konsultację ze stomatologiem, który przeprowadzi szczegółowy wywiad medyczny oraz oceni stan zdrowia jamy ustnej. Przed zabiegiem pacjent powinien również wykonać niezbędne badania diagnostyczne takie jak zdjęcia rentgenowskie czy tomografia komputerowa, które pomogą lekarzowi zaplanować cały proces wszczepienia implantu. Dzień przed zabiegiem warto zadbać o odpowiednią dietę – najlepiej unikać ciężkostrawnych potraw oraz alkoholu. Zaleca się także przygotowanie się psychicznie do zabiegu poprzez relaksację oraz pozytywne nastawienie. W dniu zabiegu dobrze jest przybyć do kliniki wypoczętym i punktualnym. Pacjenci powinni również pamiętać o zabraniu ze sobą dokumentacji medycznej oraz listy leków przyjmowanych na stałe.
Jak długo trwa proces gojenia po wszczepieniu implantów w Koszalinie
Proces gojenia po wszczepieniu implantów w Koszalinie jest kluczowym etapem leczenia i może trwać różnie w zależności od indywidualnych predyspozycji pacjenta oraz specyfiki przeprowadzonego zabiegu. Zazwyczaj proces osseointegracji – czyli zespolenia implantu z kością – trwa od kilku tygodni do kilku miesięcy. W przypadku prostszych przypadków gojenie może trwać około 3-4 miesięcy, natomiast bardziej skomplikowane sytuacje mogą wymagać dłuższego okresu rehabilitacji. W tym czasie ważne jest przestrzeganie zaleceń lekarza dotyczących diety oraz higieny jamy ustnej, co może przyspieszyć proces gojenia i zmniejszyć ryzyko powikłań. Pacjenci często otrzymują tymczasowe korony lub protezy już podczas pierwszej wizyty, co pozwala im cieszyć się estetyką uśmiechu jeszcze przed zakończeniem pełnego procesu leczenia. Regularne wizyty kontrolne umożliwiają lekarzowi monitorowanie postępów gojenia oraz podejmowanie ewentualnych działań korygujących jeśli zajdzie taka potrzeba.
Jak znaleźć dobrego specjalistę od implantów w Koszalinie
Znalezienie dobrego specjalisty od implantów w Koszalinie to kluczowy krok dla każdego pacjenta planującego ten rodzaj leczenia stomatologicznego. Istnieje kilka sposobów na znalezienie odpowiedniego lekarza, który będzie miał doświadczenie i kompetencje potrzebne do przeprowadzenia skutecznego zabiegu. Po pierwsze warto zwrócić uwagę na rekomendacje znajomych lub rodziny, którzy mieli już doświadczenie z implantami i mogą polecić sprawdzonego specjalistę. Kolejnym krokiem może być przeszukiwanie internetowych opinii oraz recenzji dotyczących klinik stomatologicznych działających w Koszalinie – wiele osób dzieli się swoimi doświadczeniami online co może pomóc podjąć decyzję. Ważnym aspektem jest również sprawdzenie kwalifikacji lekarza – warto upewnić się, że posiada on odpowiednie certyfikaty oraz ukończone szkolenia związane z implantologią. Nie bez znaczenia jest także atmosfera panująca w gabinecie – komfort psychiczny pacjenta ma ogromny wpływ na przebieg leczenia dlatego warto wybrać miejsce gdzie czujemy się dobrze i bezpiecznie.




